For the record, this is one of those “learn from my mistakes” type articles. Ie, don’t be like me.
Pain.
For some of us, it’s a constant song playing in the back of our head. For others, it’s a seldom heard, but piercing scream. And then there are those who have both, way too often and deafening. For those of us in middle age and beyond, pain can become a regular fact of life that we learn to deal with. Its not just an unfortunate companion but something that snuffs out all of our other life experiences. Pleasure, fun, and the freedom to do what we want.
Given the darkness of this first paragraph, I must admit I am currently deep in the pain cave. I’ve been here before and have found my way out. Right now, I’m a bit pessimistic that there may be an end in sight, but I do remain hopeful. My scientific brain tells me that there is a way out of this, so does my podiatrist, but with severe plantar fasciitis and a bone spur in my heel, my every day activities can be torturous. I limp out of bed every morning and spend my days feeling like I am walking on broken glass.
I lift heavy weights and I throw heavy things. This is what I like to do. This puts a bit of pressure on the feet. And prolonged pressure at unideal angles can cause some problems.
Feet are really cool little machines with a lot of moving parts that absorb stress, exert force, and stretch when pushing a barbell up off your back, spinning with a 28 lb weight, or my latest activity: running.
![]() |
| Guess where the force is generated? Yup, the ground. Through the feet. Hips can’t do their job unless they have a surface on which to exert force. |
So, first, yes, I must admit, there’s a lot of dumb going on here on my part. I’ve been having foot pain for years. It started off as just feeling like I’d been on my feet too long, but when I started training in earnest for Highland Games last year, it began to get to the point where getting up out of bed in the morning and standing up made me break out in a cold sweat.
Still, it was manageable.
When I started training for the throwing season this year, it came back a bit worse than before, but then I had this great idea. I was going to run a half marathon in the Fall. My reasoning for this is sound. I train better with a good endurance base and after training for a 12 mile Tough Mudder four years ago, I had a training boost that allowed me to push myself in the gym and on the field like never before. But then, like most things you don’t work to maintain, this great endurance base eroded.
I did what I was supposed to do. I started out slow. One to two miles a day, only three days a week at first, very slowly increasing distances. But, what I didn’t account for was my ego. I thought I could continue to squat heavy, throw heavy, and run farther and farther without really having a base to do all three of these things at once.
Pro tip: it takes a long time to build these skills. And by skills I mean strength, power, and endurance. I’d elaborate more, but basically, if you add in a big stress, something’s got to give. You can’t just pile on another big pie piece without shaving down the ones already in play.
I had a big Highland Games in July that I really wanted to compete in and I probably should have listened to fate when I broke my left foot (in my defense, I didn’t know it was broken) five days out. But regardless, I came back from Grandfather Mountain with a less than stellar performance and feet I could barely walk on, much less stand.
![]() |
| That left foot was broken. The right wasn’t working. This was not my best performance on the field. |
Finally, on the urging of my gut (and my wonderful chiropractor, Dr. Alan Ashforth), I went to see a podiatrist. And that’s when I learned about the broken left foot and the heel spur on the right. Got a cortisone shot in my right heel (don’t wish that on anyone), ordered some custom orthotics, and two days later, went for a run and realized how terribly inflexible my right foot had become. In fact, looking down at my feet while running, realized that both the inflexibility and the pain had caused me to be running on the outside of my right foot with my toe pointed inward. I’m working on correcting my stride, but the first two miles are excruciating and only mildly less so once everything has stretched and warmed up. Daily walking and standing is just barely tolerable.
![]() |
| See that? That’s a broken foot. After healing 3 weeks. |
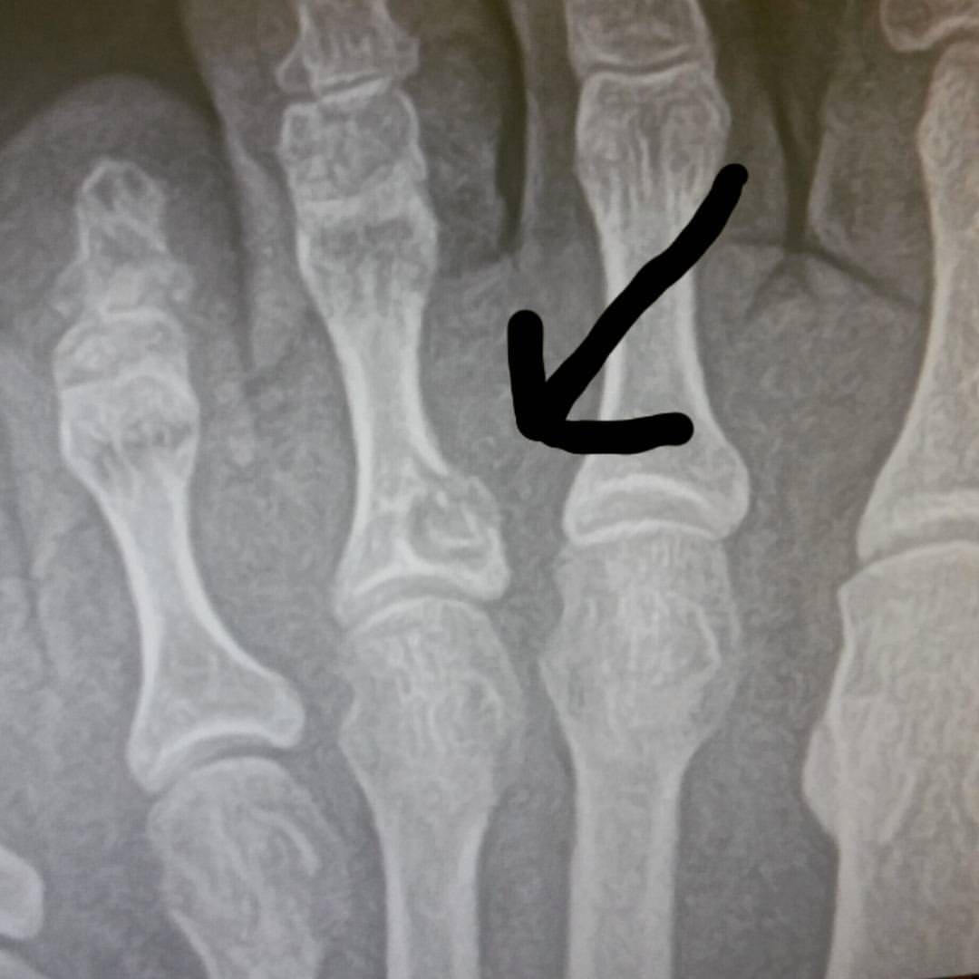
![]() |
| See that hook at the bottom? Not supposed to be there. |
Also, my podiatrist pointed out to me that the Xrays also showed that my feet are structurally unsound, (ie, my feet are pretty, just not built well) which means that my arches are starting to collapse. The extra weight I’ve put on these past five years (in my defense, about half of that is muscle) isn’t helping.
So, now, I’m battling my way out of the pain cave and need to make some decisions.
- Do I continue to run? Well, yes. I have to. My 12 year old son begged me to let him run this with him. And ordinarily I wouldn’t, but this kid loves to run. And, as aside, two years ago, he missed going to Nationals for javelin in USA Track and Field by one placement at Regionals. Just had a bad day and that bad day continues to haunt him. He sees this race as his redemption and being the Mama Bear I am, I will face down this ghost with all my might. (No, Mama Bears are not rational so don’t even try to argue with me.)
- Do I continue to throw? Well, maybe not. I can see the two things are at odds with one another and throwing AND running doesn’t seem to be working.
- Do I continue to lift? I think so, but for now, not heavy. Might be a good time to work on my bench. Heavy squats seem to exacerbate it so we’ll be lightening those up for a while.
- Do I lose weight? Yes. Easier said than done. I like food. And I’m a middle aged woman. But, sometimes one must suffer for one’s art.
All that being said, I’m not down for the count. I think I’m going to get this race done with my son. I will enjoy the benefits of a bigger endurance base with my training over the winter when I’ll get back to lifting and throwing. I am going to give my feet time to heal and then I think I’ll stick to more regular rowing for my cardio and endurance training for a while.
Most importantly, the next time my son wants me to train for a race with him, I will have the insight and wisdom to focus on one goal at a time and not sacrifice my body in the process.
For those of you suffering from chronic pain of the body or soul, my thoughts are with you. May you find peace and healing.



